
د. محمود غلاب يقود انطلاق خدمات الأشعة التداخلية و علاج الأورام و الألم بمستشفى العلمين النموذجى 2026
فى خطوة طبية جديدة تعكس التطور الكبير فى مجال العلاج الدقيق بدون جراحة، أعلنت مستشفى العلمين النموذجى عن بدء العمل فى وحدة الأشعة التداخلية تحت
أورام الكبد لها تاثير واسع و قديم فى المجتمع المصرى. فبدأ من القرن الماضى و مع انتشار الواسع للبلهارسيا و الفشل الكبدى الناتج عنها , اعتبرت البلهاريسيا وباءا لزم القضاء عليه. لذا وضعت وزارة الصحة المصرية خطة للقضاء على طفيليلات البلهارسيا ما بين 1950 الى 1980م باستخدام الحقن الوريدى intravenous tartar emetic”” , و لكن للأسف كان الانتشار الواسع لحملات العلاج بالحقن الوريدى سببًا للتلوث و نقل الدم و الميكروبات بين المرضى. و مما أدى إلى انتشار فيروس سى. و الذى يعتبر من أهم العوامل المؤدية لسرطانات الكبد.
و بدأ اكتشاف التحاليل التشخيصية لفيروس سى فى خلال تسعينيات القرن الماضى, و ظهر معدل انتشاره و عدنا الى الفشل الكبدى الناتج عنه ,و الذى نعانى منه حتى يومنا هذا.
بالرغم من أن أورام و سرطان الكبد من الأمراض الخطيرة و المرتبطة بمعدل وفاة عالية إلا انه حديثاً صارت نسب النجاة منه فى تزايد مستمر مع ظهور العلاجات الجديدة لتدخلات الأشعة التداخلية .
و مع فهم أسباب و عوامل خطر سرطان الكبد التى تؤدى إلى أورام الكبد يمكنك الحفاظ على كبدك و منع السبل التى تؤدى إلى تكون أورام الكبد , عن طريق:
الوقاية و العلاج المبكر من الالتهابات الكبدية الفيروسية
تمثل فيروسات الكبد بى و سى أكثر الأسباب المؤدية لسرطان الكبد , فى جميع أنحاء العالم. و تنتقل هذه الفيروسات من شخص لآخر عن طريق الدم الملوث : مثل تشارك الإبر الملوثة , ممارسة الجنس مع شخص مصاب بدون وسائل حماية “استخدام الواقى الذكرى” و نقل الدم و قد تنتقل للطفل مع عملية الولادة.
الحد من تناول الكحوليات و التدخين
فالكحوليات من أشهر و أكثر العوامل المؤدية لتليف أنسجة الكبد و تدمير خلاياه , و كذلك التدخين و التعرض للتبغ و تأثيره على الحمض النووى للخلايا مما يسبب تشوهه و حدوث طفرات فى الخلايا مما يعمل على نمو الأورام. فان إيقافه ليس فقط سيحميك من سرطان الكبد و لكن أيضا من سرطانات الرئة و المثانة و غيرها .
الحفاظ على وزن صحى و نظام صحى سليم
قد يكون تجنب السمنة طريق للمساعدة فى الحماية من سرطان الكبد. فالأشخاص الذين يعانون من السمنة المفرطة هم أكثر عرضة للإصابة بمرض الكبد الدهنى و مرض السكرى ، و كلاهما مرتبط بسرطان الكبد.
الحد من التعرض للمواد الكيميائية التى تسبب سرطان الكبد
مثل التعرض لمادة الافلاتوكسين التى تنتج من الفطريات بسبب سوء تخزين الحبوب فى البلاد الحارة غالبًا و التعرض للزرنيخ الذى قد يتواجد فى مياه الآبار .
فبينما تتميز الأورام الحميدة بنمو عدد و حجم خلاياها عن الصورة الطبيعية إلا أنها لا تظهر صور عدائية و لا تدمر الأنسجة المحيطة بها و لا تنتقل إلى أعضاء أخرى. بينما النمو السرطانى يتميز بزيادة سريعة فى نمو الخلايا و تغير أشكالها و تركيبها عن الهيكل الطبيعى المخصص للعضو , و ينتقل بسرعة متفاوتة إلى أعضاء أخرى.
و لذا يكون علاج الأورام الحميدة أسهل لأنه فى الغالب يقتصر على تقليص حجم الورم و التخلص منه بينما العلاج فى الأورام الخبيثة يكون مصحوب بصعوبة إيقاق النشاط الغير طبيعى و يلزم إعطاء أكثر من وسيلة علاجية.
و يمثل نحو 80% من الأورام الكبدية الأولية. و ينتج بسبب نمو غير طبيعى بخلايا الكبد “Hepatocytoes” . و نحو 75% يحدث بسبب تليف كبدى سابق بسبب التهاب فيروسى او غيرها من الأسباب.”انظر الأسباب بالأسفل”
أحد الأنواع السرطانية النادرة و يعتبر نوع مشابه لسرطان الخلايا الكبدية و لكن يكون مصحوب بنمو غير طبيعى فى الأنسجة الضامة . كما يحدث فى سن اصغر “20-40” و غير مصاحب بتليف كبدى سابق.
أورام بخلايا الكبد على شكل تجمع دموى بالغالب , فى الاطفال عند عمر 3 سنوات. و برغم عدم وضوح سببه الفعلى , إلا أنه مرتبط بالعوامل الوراثيه و الطفرات الجينية و التعرض الاشعاعى و الولادة المبكرة.
ينمو هذا النوع في قنوات الصفراء التي تقوم بنقل العصارة الصفراوية.
الاورام الثانوية هى أورام تنشا فى عضو أخر غير الكبد ثم تنتقل منه إلى الكبد و تكون مستعمرات سرطانية جديدة. و هو أكثر طرق نمو التكونات الخبيثة بالكبد ,و تعد الرئة و العظام و الثدى هم أشهر الأعضاء التى ينتقل منها الأورام إلى الكبد. و تنتقل الأورام عن طريق انفصال بعد الخلايا السرطانية ذات القدرة الانقسامية العالية و تسللها إلى الأوعية الدموية أو الليمفاوية و منها تنتقل إلى الأوعية الدموية الغزيرة بالكبد و تترسب به و تبدأ فى الانتشار و تدمير خلاياه.
و لكن عوامل الخطر لا تخبرنا كل شئ ,,, فليس معنى أن لديك عامل خطر او أكثر من عامل , انك ستصاب بالتاكيد , فقد يوجد أشخاص مصابون بالمرض بدون أى عوامل سابقة و أخرون لديهم أكثر من عامل بلا اصابتهم بالمرض. و قد يفسر ذلك التغيير بسبب وجود قابلية وراثية و عوامل جينية تجعل رد فعل الأجسام البشرية متباينة نحو العوامل الحياتية.
الجنس
فى العموم, إن الرجال أكثر عرضة للإصابة بأورام الكبد , و ذلك بسبب التعرض للعوامل المسببة المذكورة لاحقًا بشكل أكبر .
التنوع العرقى
أشارت العديد من الأبحاث لوجود اختلافات طفيفة نسبيًا بين الأشخاص مختلفى لون البشرة و الاختلافات العرقية فى مدى انتشار سرطان خلايا الكبد و أيضًا مدى استجابتهم للعلاج.
التهاب الكبد الفيروسى “بى و سى” “Hepatitis B and C”
إذا كنا سنضع ترتيبًا لإخطر و أهم العوامل المسببة لسرطان الكبد , فإن فيروسات الكبد بى و سى ستكون على قمة الهرم بلا منافس. فنحو 50% من المرضى المصابين بسرطان خلايا الكبد لديهم تليف كبدى فيروسى سابق.
تليف الكبد “cirrhosis”
هو عباره عن تدمير خلايا الكبد و استبدالها بألياف صلبة من النسيج الضام , و يحدث بسبب العدوى بالتهاب الكبد الفيروسى المزمن أو الكحوليات أو غيرها.
الكبد الدهنى
يحدث بسبب السمنة و زيادة نسبة دهون الدم مما يسبب تراكمها بكثرة داخل الكبد.
التهاب الممرات المرارية الأولى
هو أحد الاختلالات المناعية حيث تدمر الأجسام المضادة الممرات الصفراوية مما قد يسبب تليف الكبد و زيادة فرص حدوث السرطان الكبدى.
الاضطرابات الأيضية الموروثة
مثل hereditary hemochromatosis““داء ترسب الصبغة الدموية الوراثى, يحدث بسبب زيادة امتصاص الجسم للحديد من خلال الجهاز الهضمى و ترسبه بخلايا الكبد مما يسبب تدميرها و تليف الكبد.
التدخين و التعرض للتبغ
لا أحد يختلف على دور التدخين و المواد المستخدمة فى تصنيع السجائر و سميتها الشديدة و قدرتها على احداث تلف بالحمض النووى للخلايا و زيادة فرص حدوث الأورام.
أقراص منع الحمل الهرمونية
قد تؤدى فى بعض الحالات إلى الإصابة بأورام حميدة بالكبد “hepatic adenomas” و لكن تباينت الدراسات فى تأكيد إذا ما كانت قد تتسبب فى تغيرات سرطانية بالكبد , و لم تثبت بصورة قاطعة إلى الآن .
الكحوليات
أحد أهم و أكثر الأسباب المؤدية لتدمير خلايا الكبد و تليفه .
داء السكرى بالبالغين
ارتبط بزيادة فرص الإصابة و خصوصًا إذا اقترن بالسمنه أو عدوى فيروسية بالكبد.
المنشطات الاستيرويدية البنائية
تحتوى على هرمونات الذكورة , و قد يستخدمها بعض الرياضيين لزيادة الكتلة العضلية مما يزيد بنسبة صغيرة من خطر الاصابة بسرطان خلايا الكبد.
بعض المعادن مثل الزرنيخ
قد يتواجد فى مياه الآبار ” أكثر شيوعًا بشرق آسيا و الولايات المتحدة” و شرب المياه الملوثة بالزرنيخ لفترت طويلة قد يؤدى إلى أورام الكبد. و بعض المواد الكيماوية مثل فينيل الكلوريد “vinyl chloride” و الذى كان يستخدم فى مواد البناء و تم إيقافه.
البلهاريسيا و الطفيليات
التى كانت تنتشر بشكل وبائى إلى نهايات ثمانينيات القرن الماضى , و التى تؤدى إلى تليف خلايا الكبد مما يسبب أورام الكبد.
مع أخذ التاريخ المرضى لإيجاد عوامل الخطر لدى الشخص . و إذا كانت نتائج التاريخ المرضى و الكشف الإكلينيكى و الموجات الصوتية على البطن تشكك فى احتمالية وجود ورم كبدى يبدأ الطبيب فى إجراء الفحوصات التشخيصية .
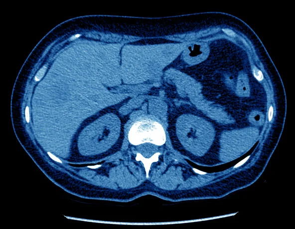
و غالبًا ما تشخص باستخدام الأشعة المقطعية “CT” أو الرنين المغناطيسى “MRI” بالصبغة ثلاثية المراحل, و تبين تلك الأشعات التشخيصية المعلومات اللازمة عن التكتلات الموجودة داخل الكبد من حيث عددها و حجمها و خصائصها الخارجية و مدى انتشارها.
و لكن اذا تبقى إجابة السؤال : هل هو ورم خبيث أو به تغيرات سرطانية؟
في نسبة قليلة إذا لم يتم التشخيص بالأشعة المقطعية ثلاثية المراحل بالصبغة على الكبد، أو الرنين بالصبغة ثلاثى المراحل ، فقد نلجأ فى النهاية بعد استشارة الطبيب المعالج إلى أخذ عينة من الكلية تحت توجيه الموجات الصوتية أو الأشعة المقطعية.
بالإضافة لبعض التحاليل المعملية التى قد تساعد فى تشخيص أورام الكبد الحميدة و الخبيثة أو مدى تاثيرة على وظيفة الكبد و كذلك لاكتشاف مدى استجابة الكبد للعلاج , مثل :
يركز هذا النوع من العلاج على الإشعاع الصادر من خارج الجسم على الأنسجة الورمية. يمكن أن يستخدم هذا فى بعض الأحيان لتقليص أورام الكبد لتخفيف الأعراض مثل الألم ، لكنه لا يستخدم في كثير من الغالب مثل الاصمام الشريانى او الاستئصال الموضعى. و إذا استخدم يكون بجرعات صغيرة بسبب حساسية أنسجة الكبد الطبيعة و سهولة تدميرها بالاشعاع
عن طريق الحقن الوريدى أو بالفم” يسبب أثار جانبية و مضاعفات عديدة و خطيرة على جميع أعضاء الجسم بسبب قدرتها على تدمير الأنسجة , و لذا تم استبدالها بالحقن الموضعى بمكان الورم تحديدًا عن طريق قسطرة العلاج بالأشعة التداخلية و الاصمام الشريانى.
قبل أن نتكلم عن هذه التقية الحديثة , يجب أولا أن تعرف طبيعة الغذاء الدموى الفريد للكبد: الكبد يختلف عن معظم أعضاء الجسم التى يصلها الدم عن طريق مصدر واحد. يصل الدم المحمل بالأكسجين للكبد عن طريق مصدرين و هما الشريان الكبدى “hepatic artery” و الوريد البابى الكبدى “portal vein”, ثم يخرج الدم المحمل بثانى أكسيد الكربون لخارج الكبد عن طريق الوريد الكبدى “hepatic vein”و يعتمد العلاج بالاصمام على هذا المفهوم , حيث يقوم طبيب الأشعة التداخلية بادخال قسطرة شريانية دقيقة حتى المصدر الذى يوصل الدم لخلايا الورم و يقوم بحقن مادة لسد هذا المصدر. و بالتالى تموت الخلايا السرطانية التى تتغذى من هذا الشريان , بينما باقى أنسجة الكبد يصلها الدم المؤكسد بشكل طبيعى عن طريق الوريد البابى الكبدى. و يمثل هذا العلاج خيار جيد للمرضى الغير مناسبين للجراحة و الاستئصال الموضعى و مع الأورام الكبيرة نسبيا ” أكبر من 5 سم “. و لا يحتاج المريض يعد إجراء الاصمام للمكوث بالمستشفى و يخرج بنفس اليوم.
يقوم طبيب الأشعة التداخلية بادخال قسطرة دقيقة من الشريان الفخذى و يصعد داخل الشريان حتى يصل إلى الشريان الكبدى , مع متابعة تقدم القسطرة باستخدام الأشعة المقطعية بالصبغة التى تصور الاوعية الدموعية بدقه عالية .ثم يقوم بحقن جزيئات صغيرة لسد الشريان المغذى للورم.
تمثل هذه التقنية ثورة جديدة فى علاج الأورام , حيث يقوم طبيب الأشعة التداخلية بحقن الدواء الكيميائى المضاد للخلايا السرطانية موضعيًا بمكان الورم فقط (بدون الحقن الوريدى لكل الجسم مما يجنب المريض الآثار الجانبية العديدة للعلاج الكيميائى) ثم يتبعة باصمام الشريان المغذى للورم.
بنفس الاجراء المتبع مع الاصمام الشريانى مع العلاج الكيميائى الموضعى مع استخدام العلاج الاشعاعى بترددات اشعاعية محددة , يقتصر عملها على مكان الورم فقط بلا تاثير على باقى اجهزة الجسم. يعد الاصمام الشريانى و العلاج الموضعى افضل و أمن السبل العلاجية الحديثة و مع عدم وجود اثار جانبية خطيرة , الا انه قد يحدث اثار طفيفة مثل الآلام بالمعدة و التهاب الكبد او المرارة و تجلطات بالشرايين الكبرى بالكبد او عدوى . و تعتمد ظهور تلك المضاعفات على مدى خبرة و مهارة طبيب الاشعة التداخلية
استئصال أو جذ الورم بدون جراحة , هى احدى عمليات طبيب الأشعة التداخلية , يتم بها تدمير الخلايا السرطانية موضعيًا بدون إزالة الورم. و تتم عن طريق إدخال إبرة أو قسطرة طبية صغيرة الحجم من جدار البطن الأمامى حتى يصل لمكان الورم بدقة عن طريق استخدام أشعة الموجات الصوتية او الاشعة المقطعية لتحديد مكان و أبعاد الورم بدقة. و لا يحتاج المريض للمكوث بالمستشفى بعدها و يخرج بنفس اليوم.

فى خطوة طبية جديدة تعكس التطور الكبير فى مجال العلاج الدقيق بدون جراحة، أعلنت مستشفى العلمين النموذجى عن بدء العمل فى وحدة الأشعة التداخلية تحت

يشرف دكتور محمود غلاب بالمشاركة في مؤتمر ESTIR 2026، أحد أكبر المؤتمرات العلمية المتخصصة فى الأشعة التداخلية على مستوى مصر و العالم العربى، و الذى

يعانى الكثير من الرجال من مشكلة تضخم البروستاتا الحميد، و التى قد تؤثر بشكل كبير على الصحة الجنسية. و من أكثر الأعراض المزعجة المرتبطة بتضخم
تواصل معنا أو ضع بياناتك و سوف نقوم بالاتصال بك و نجيب على كل استفساراتكم عن أورام الرحم الليفية و العمليات بدون جراحة ” دوالى الخصية – تضخم البروستاتا – أورام الكبد – ”.
كما نسعد بتلقى جميع الاستفسارات للأشقاء من الوطن العربى فى المملكة العربية السعودية و الكويت و الامارات العربية المتحدة و ليبيا لـ أفضل دكتور فى الأشعة التداخلية بالاسكندرية و مصر.