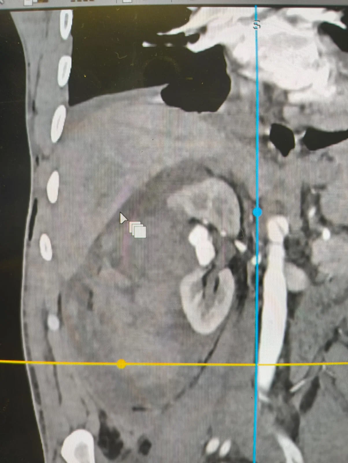
استمرارًا لمسيرة النجاح التى يحققها مستشفى كفر الشيخ الجامعى فى تقديم خدمات طبية متقدمة، نجح الفريق الطبى بوحدة الأشعة التداخلية تحت إشراف الدكتور محمود غلابمدير وحدة الأشعة التداخلية و استشارى الأشعة التداخلية، و زميل الأشعة التداخلية بجامعة هيروشيما، و مدرس الأشعة التداخلية بجامعة كفر الشيخ – فى إنقاذ حياة شاب تعرّض لحادث أدى إلى قطع جزئى فى الشريان الكلوى الأيمن مصحوبًا بتجمع دموى، و ذلك دون اللجوء إلى استئصال الكُلى.

الأشعة التداخلية تنقذ شابًا من استئصال الكُلى بجامعة كفر الشيخ – د. محمود غلاب
الأشعة التداخلية تنقذ شابًا من استئصال الكُلى بجامعة كفر الشيخ – د. محمود غلاب

تدخل طارئ دقيق أنقذ الكُلى دون جراحة

تمكّن فريق الأشعة التداخلية بجامعة كفر الشيخ بقيادة د. محمود غلاب من إجراء تدخل طارئ ناجح تم خلاله سدّ التمدد الشريانى مع الحفاظ الكامل على التغذية الدموية لباقى أنسجة الكُلى، و هو ما يُعد من أبرز و أهم مميزات الأشعة التداخلية التى تهدف إلى إنقاذ العضو المصاب دون جراحة مفتوحة، و بأعلى درجات الدقة مع تقليل المضاعفات و فترة التعافى.

مميزات الأشعة التداخلية فى إنقاذ الحالات الحرجة

و تتميّز الأشعة التداخلية بقدرتها الفائقة على الوصول إلى أدق شرايين الجسم وإجراء تدخلات عالية الدقة و الصعوبة دون أى تدخل جراحى، و غالبًا دون الحاجة إلى التخدير الكلى فى كثير من الحالات، ما يساهم فى تقليل المخاطر و المضاعفات و تسريع تعافى المرضى مقارنة بالجراحات التقليدية.

سرعة استجابة و تنسيق فورى لإنقاذ المريض

تم إجراء هذا التدخل فجر يوم الاثنين بعد ساعات قليلة من الإبلاغ عن حالة المريض المحجوز بالمستشفى العام، حيث جرى تنسيق عاجل مع إدارة مستشفى كفر الشيخ الجامعى لتوفير جميع المستلزمات الطبية اللازمة، و تم نقل المريض على الفور إلى المستشفى الجامعى لإجراء التدخل و إنقاذ حالته فى توقيت حرج.

رسالة شكر و تقدير من إدارة الوحدة

و يتوجّه الدكتور محمود غلاب – بالنيابة عن نفسه و عن وحدة الأشعة التداخلية – بخالص الشكر و التقدير إلى جامعة كفر الشيخ ممثّلة فى:

  • أ.د/ إسماعيل إسماعيل إبراهيم السيد – رئيس الجامعة.
  • أ.د/ طه إسماعيل – عميد كلية الطب.
  • أ.د/ هاني حامد – المدير التنفيذى لمستشفى كفر الشيخ الجامعى.
  • أ.د/ جمال شمس – مدير مستشفيات كفر الشيخ الجامعى.

و ذلك على ثقتهم الغالية باختياره مديرًا للوحدة، داعيًا الله أن يكون العمل سببًا فى نشر علمٍ يُنتفع به، وأن يوفّق الفريق ليكون سببًا فى تخفيف الألم و شفاء أهلنا بمحافظة كفر الشيخ بعون الله.

تقدير خاص لفريق العمل

كما يتقدّم بخالص الشكر للزملاء الأعزاء:

  • د/ عمرو أمين.
  • د/ محمد أمين الصيرفى.

على مجهوداتهم و نشاطهم فى تذليل الصعاب و توفير المتطلبات اللازمة، و العمل الدؤوب على متابعة حالات الوحدة، إلى جانب توجيه الشكر لكافة زملائنا النواب بوحدة الأشعة التداخلية و زملائنا بقسم الأشعة التشخيصية على التعاون المثمر و روح الفريق.

و فى الختام، نسأل الله دوام التوفيق و النجاح والاستمرار على طريق تطوير وحدة الأشعة التداخلية بما يليق باسم جامعة كفر الشيخ و خدمة أهلنا بمحافظة كفر الشيخ.

FAQ – أسئلة شائعة للمرضى عن علاج أمراض الكُلى بالأشعة التداخلية

ما هى الأشعة التداخلية؟

الأشعة التداخلية هى تخصص طبى دقيق يعتمد على القسطرة و التصوير الطبى للوصول إلى الأوعية الدموية و الأعضاء الداخلية و علاج كثير من الحالات بدون جراحة مفتوحة، مثل النزيف و التمددات الشريانية و أورام معينة.

هل يمكن علاج نزيف الشريان الكلوى بدون جراحة؟

نعم، فى كثير من الحالات يمكن علاج نزيف أو قطع جزئى بالشريان الكلوى باستخدام الأشعة التداخلية عبر سدّ مصدر النزيف بالقسطرة مع الحفاظ على تغذية باقى أنسجة الكُلى، دون الحاجة إلى استئصال الكُلى أو جراحة مفتوحة.

ما هى الأشعة التداخلية لعلاج أمراض الكُلى؟

هي علاج بالقسطرة بدون جراحة مفتوحة لعلاج نزيف الشريان الكلوى، بعض أورام الكُلى، و التمددات الشريانية.

هل علاج الكُلى بالأشعة التداخلية مؤلم؟

غالبًا لا. الإجراء يتم بتخدير موضعى، و الألم بسيط و مؤقت.

هل يحتاج المريض إلى جراحة أو تخدير كلى؟

لا في أغلب الحالات. يتم العلاج بدون جراحة مفتوحة و دون تخدير كلى.

كم تستغرق الجلسة؟

من 30 دقيقة إلى ساعتين حسب الحالة.

هل العلاج بالأشعة التداخلية آمن؟

نعم، آمن و نِسَب النجاح مرتفعة عند إجرائه على يد فريق متخصص.

هل يمكن إنقاذ الكُلى بدون استئصالها؟

نعم، فى حالات كثيرة يمكن إيقاف النزيف أو علاج المشكلة مع الحفاظ على الكُلى.

هل يحتاج المريض للإقامة بالمستشفى؟

غالبًا إقامة قصيرة من يوم إلى يومين للملاحظة فقط.

هل نتائج الأشعة التداخلية فورية؟

فى حالات النزيف، التحسن يكون فوريًا بعد إيقاف النزيف بالقسطرة.

هل يوجد مضاعفات للأشعة التداخلية؟

المضاعفات نادرة و غالبًا بسيطة مقارنة بالجراحة التقليدية.

هل يناسب العلاج بالأشعة التداخلية كبار السن أو مرضى القلب؟

نعم، لأنه إجراء بسيط و أقل خطورة من العمليات الجراحية.

إنقاذ حياة مصاب بقطع فى الشريان الكلوى بـ كفر الشيخ الجامعى

تدخل عاجل فجرًا … معجزة طبية بالأشعة التداخلية .. إنقاذ شاب من المـوت بمستشفى كفر الشيخ الجامعى

إنقاذ حياة شاب مصاب بقطع فى الشريان الكلوى بالأشعة التداخلية بمستشفى كفر الشيخ الجامعى

احجز استشارتك الآن

📞 للحجز و الاستفسار: للتواصل مع عيادة د. محمود غلاب استشارى الأشعة التداخلية أو حجز موعد: 

العنوان: 217طريق الحرية (ش أبو قير) الإبراهيمية GIG المركز العالمى للأشعة التداخلية

تواصل معنا عبر الهاتف أو واتساب 📍

01000113305

01000113305

info@dr-ghalab.com

يمكنك متابعة قناة دكتور محمود عبد العزيز غلاب: حكاية الأشعة التداخلية – بدون جراحة – بدون مشرط – بنج موضعى – دكتور محمود غلاب 

مشاركة محمود غلاب فى تطوير علاج الغدة الدرقية بالأشعة التداخلية فى مؤتمر PASID 2026

مشاركة د. محمود غلاب فى مؤتمر PASID 2026 و دوره فى تطوير علاج الغدة الدرقية بالأشعة التداخلية، مع أحدث تقنيات التشخيص و العلاج بدون جراحة

فى خطوة جديدة تؤكد ريادة الأطباء المصريين على المستوى الإقليمى و العالمى، شارك د. محمود غلاب فى فعاليات مؤتمر PASID 2026، أحد أهم المؤتمرات الطبية

Read More »
أورام البنكرياس الحميدة 2026: الأعراض، التشخيص، وأحدث طرق العلاج بالأشعة التداخلية| د. محمود غلاب

أورام البنكرياس الحميدة 2026: الأعراض، التشخيص، وأحدث طرق العلاج بالأشعة التداخلية | د. محمود غلاب| أفضل دكتور أورام بنكرياس فى مصر

أورام البنكرياس الحميدة تُعد من الحالات التى قد تمر دون ملاحظة في بدايتها، لكنها تحتاج إلى تشخيص دقيق و متابعة طبية منتظمة لتجنب أى مضاعفات

Read More »